矯正症例紹介
上顎前突(出っ歯)
-
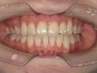
上顎前突01
治療前
治療後
施術内容 【20代 女性】 治療期間 1年 リスク・副作用 ・歯の動き方には個人差があるため、予想された治療期間よりも延長する場合があります。
・矯正の進捗やメンテナンスのために定期的な通院が必要になります。
・装置時間が守られない場合、歯並びの治りに影響が出る場合があります。費用 935,000円 ※表示金額は全て税込みです。
-
上顎前突02
治療前
治療後
施術内容 【20代 女性】 治療期間 3年2カ月 リスク・副作用 ・歯の動き方には個人差があるため、予想された治療期間よりも延長する場合があります。
・矯正の進捗やメンテナンスのために定期的な通院が必要になります。
・装置時間が守られない場合、歯並びの治りに影響が出る場合があります。費用 880,000円 ※表示金額は全て税込みです。
叢生(ガタガタ)
-
叢生01
治療前
治療後
施術内容 【10代 女性】 治療期間 1年10ヶ月 リスク・副作用 •歯の動き方には個人差があるため、予想された治療期間よりも延長する場合があります。
•矯正の進捗やメンテナンスのために定期的な通院が必要になります。
•装置時間が守られない場合、歯並びの治りに影響が出る場合があります。費用 990,000円(加速装置代含む) ※表示金額は全て税込みです。
-
叢生02
治療前
治療後
施術内容 【10代 女性】 治療期間 1年 リスク・副作用 ・歯の動き方には個人差があるため、予想された治療期間よりも延長する場合があります。
・矯正の進捗やメンテナンスのために定期的な通院が必要になります。
・装置時間が守られない場合、歯並びの治りに影響が出る場合があります。費用 935,000円 ※表示金額は全て税込みです。
-
小児叢生03
治療前
治療後
治療前
治療後
施術内容 【10代未満 女性】 治療期間 1年 リスク・副作用 •歯の動き方には個人差があるため、予想された治療期間よりも延長する場合があります。 •矯正の進捗やメンテナンスのために定期的な通院が必要になります。 •装置時間が守られない場合、歯並びの治りに影響が出る場合があります。 費用 495,000円 ※表示金額は全て税込みです。
-
叢生04
治療前
治療後
治療前
治療後
施術内容 【20代 女性】 治療期間 2年7ヵ月 リスク・副作用 ・歯の動き方には個人差があるため、予想された治療期間より延長する場合があります。
・矯正の進捗やメンテナンスのために定期的な通院が必要になります。
・装着時間が守られない場合、歯並びの治りに影響が出る場合があります。費用 935,000円 ※表示金額は全て税込みです。
-
小児叢生05
治療前
治療後
施術内容 【10代未満 男性】 治療期間 1年 リスク・副作用 ・歯の動き方には個人差があるため、予想された治療期間より延長する場合があります。
・矯正の進捗やメンテナンスのために定期的な通院が必要になります。
・装着時間が守られない場合、歯並びの治りに影響が出る場合があります。費用 495,000円 ※表示金額は全て税込みです。
-
叢生06
治療前
治療後
施術内容 【30代 女性】 治療期間 1年7ヵ月 リスク・副作用 ・歯の動き方には個人差があるため、予想された治療期間より延長する場合があります。
・矯正の進捗やメンテナンスのために定期的な通院が必要になります。
・装着時間が守られない場合、歯並びの治りに影響が出る場合があります。費用 935,000円 ※表示金額は全て税込みです。
-
叢生07
治療前
治療後
施術内容 【30代 女性】 治療期間 1年1ヶ月 リスク・副作用 ・歯の動き方には個人差があるため、予想された治療期間より延長する場合があります。
・矯正の進捗やメンテナンスのために定期的な通院が必要になります。
・装着時間が守られない場合、歯並びの治りに影響が出る場合があります。費用 935,000円 ※表示金額は全て税込みです。
-
叢生08
治療前
治療後
治療前
治療後
施術内容 【20代 女性】 治療期間 1年8ヵ月 リスク・副作用 ・歯の動き方には個人差があるため、予想された治療期間より延長する場合があります。
・矯正の進捗やメンテナンスのために定期的な通院が必要になります。
・装着時間が守られない場合、歯並びの治りに影響が出る場合があります。費用 935,000円 ※表示金額は全て税込みです。
-
叢生09
治療前
治療後
施術内容 【50代 女性】 治療期間 1年6ヵ月 リスク・副作用 ・歯の動き方には個人差があるため、予想された治療期間より延長する場合があります。
・矯正の進捗やメンテナンスのために定期的な通院が必要になります。
・装着時間が守られない場合、歯並びの治りに影響が出る場合があります。費用 935,000円 ※表示金額は全て税込みです。
-
叢生10
治療前
治療後
治療前
治療後
施術内容 【30代 女性】 治療期間 1年9ヵ月 リスク・副作用 ・歯の動き方には個人差があるため、予想された治療期間よりも延長する場合があります。
・矯正の進捗やメンテナンスのために定期的な通院が必要になります。
・装置時間が守られない場合、歯並びの治りに影響が出る場合があります。費用 935,000円 ※表示金額は全て税込みです。
-
叢生11
治療前
治療後
治療前
治療後
施術内容 【10代 男性】 治療期間 1年3ヵ月 リスク・副作用 ・歯の動き方には個人差があるため、予想された治療期間よりも延長する場合があります。
・矯正の進捗やメンテナンスのために定期的な通院が必要になります。
・装置時間が守られない場合、歯並びの治りに影響が出る場合があります。費用 935,000円 ※表示金額は全て税込みです。
-
叢生12
治療前
治療後
施術内容 【20代 女性】 治療期間 11カ月 リスク・副作用 ・歯の動き方には個人差があるため、予想された治療期間よりも延長する場合があります。
・矯正の進捗やメンテナンスのために定期的な通院が必要になります。
・装置時間が守られない場合、歯並びの治りに影響が出る場合があります。費用 935,000円 ※表示金額は全て税込みです。
-
叢生13
治療前
治療後
治療前
治療後
施術内容 【20代 女性】 治療期間 3年1カ月 リスク・副作用 ・歯の動き方には個人差があるため、予想された治療期間よりも延長する場合があります。
・矯正の進捗やメンテナンスのために定期的な通院が必要になります。
・装置時間が守られない場合、歯並びの治りに影響が出る場合があります。費用 825,000円 ※表示金額は全て税込みです。
-
叢生14
治療前
治療後
治療前
治療後
施術内容 【10代 女性】 治療期間 4カ月 リスク・副作用 ・歯の動き方には個人差があるため、予想された治療期間よりも延長する場合があります。
・矯正の進捗やメンテナンスのために定期的な通院が必要になります。
・装置時間が守られない場合、歯並びの治りに影響が出る場合があります。費用 825,000円 ※表示金額は全て税込みです。
-
叢生15
治療前
治療後
治療前
治療後
施術内容 【10代 女性】 治療期間 1年3ヵ月 リスク・副作用 ・歯の動き方には個人差があるため、予想された治療期間よりも延長する場合があります。
・矯正の進捗やメンテナンスのために定期的な通院が必要になります。
・装置時間が守られない場合、歯並びの治りに影響が出る場合があります。費用 935,000円 ※表示金額は全て税込みです。
-
叢生16
治療前
治療後
施術内容 【60代 女性】 治療期間 1年11カ月 リスク・副作用 ・歯の動き方には個人差があるため、予想された治療期間よりも延長する場合があります。
・矯正の進捗やメンテナンスのために定期的な通院が必要になります。
・装置時間が守られない場合、歯並びの治りに影響が出る場合があります。費用 825,000円 ※表示金額は全て税込みです。
-
小児叢生17
治療前
治療後
施術内容 【10代未満 男性】 治療期間 1年2カ月 リスク・副作用 ・歯の動き方には個人差があるため、予想された治療期間よりも延長する場合があります。
・矯正の進捗やメンテナンスのために定期的な通院が必要になります。
・装置時間が守られない場合、歯並びの治りに影響が出る場合があります。費用 495,000円 ※表示金額は全て税込みです。
-
叢生18
治療前
治療後
治療前
治療後
施術内容 【10代 女性】 治療期間 7カ月 リスク・副作用 ・歯の動き方には個人差があるため、予想された治療期間よりも延長する場合があります。
・矯正の進捗やメンテナンスのために定期的な通院が必要になります。
・装置時間が守られない場合、歯並びの治りに影響が出る場合があります。費用 825,000円 ※表示金額は全て税込みです。
-
叢生19
治療前
治療後
施術内容 【20代 女性】 治療期間 1年9カ月 リスク・副作用 ・歯の動き方には個人差があるため、予想された治療期間よりも延長する場合があります。
・矯正の進捗やメンテナンスのために定期的な通院が必要になります。
・装置時間が守られない場合、歯並びの治りに影響が出る場合があります。費用 825,000円 ※表示金額は全て税込みです。
空隙歯列(すきっ歯)
-
空隙歯列01
治療前
治療後
施術内容 【10代 男性】 治療期間 11カ月 リスク・副作用 ・歯の動き方には個人差があるため、予想された治療期間より延長する場合があります。
・矯正の進捗やメンテナンスのために定期的な通院が必要になります。
・装着時間が守られない場合、歯並びの治りに影響が出る場合があります。費用 770,000円 ※表示金額は全て税込みです。
-
空隙歯列02
治療前
治療後
施術内容 【20代 男性】 治療期間 1年3ヵ月 リスク・副作用 ・歯の動き方には個人差があるため、予想された治療期間より延長する場合があります。
・矯正の進捗やメンテナンスのために定期的な通院が必要になります。
・装着時間が守られない場合、歯並びの治りに影響が出る場合があります。費用 825,000円 ※表示金額は全て税込みです。
-
空隙歯列03
治療前
治療後
施術内容 【10代 男性】 治療期間 1年 リスク・副作用 ・歯の動き方には個人差があるため、予想された治療期間より延長する場合があります。
・矯正の進捗やメンテナンスのために定期的な通院が必要になります。
・装着時間が守られない場合、歯並びの治りに影響が出る場合があります。費用 495,000円 ※表示金額は全て税込みです。
-
空隙歯列04
治療前
治療後
施術内容 【10代 女性】 治療期間 4カ月 リスク・副作用 ・歯の動き方には個人差があるため、予想された治療期間よりも延長する場合があります。
・矯正の進捗やメンテナンスのために定期的な通院が必要になります。
・装置時間が守られない場合、歯並びの治りに影響が出る場合があります。費用 495,000円 ※表示金額は全て税込みです。
開咬
-
開咬01
治療前
治療後
施術内容 【30代 女性】 治療期間 1年4カ月 リスク・副作用 ・歯の動き方には個人差があるため、予想された治療期間よりも延長する場合があります。
・矯正の進捗やメンテナンスのために定期的な通院が必要になります。
・装置時間が守られない場合、歯並びの治りに影響が出る場合があります。費用 825,000円 ※表示金額は全て税込みです。


















